Skip to main content Accessible Version
Bonding and Veneers
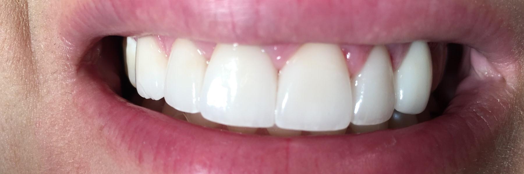
A Beautiful Smile Awaits

Bonding and veneers can reshape a single tooth or give you a whole new smile!

Bonding and Veneers | Dentist
Wondering if Bonding or Veneers Are Right for You?
Learn More

Bonding and Veneers

At Hakala Family Dentistry, we provide patients with cosmetic dentistry options such as “bonding” and “veneers” in Denver, Colorado.

What Is a Tooth Veneer?

Veneers are a false front placed over teeth, usually for cosmetic reasons. Most people have veneers on their upper front teeth, and some people also get veneers on lower teeth. You can think of a veneer as being like an artificial nail, but is applied to a tooth.

When we in the dental field speak about veneers, we are usually referring to ceramic veneers made in a dental lab. Veneers require teeth to be shaved down to make room for the ceramic material. Due to the time required to fabricate them, these ceramic veneers are more expensive than “bonding” but also stronger and more stain-resistant.

Veneers can be used to make teeth whiter and close gaps between teeth, and can greatly improve the appearance of a smile. They are quite difficult to remove. Veneers are best when multiple teeth are going to be changed to improve appearance.

What Is Cosmetic Bonding? 

Technically, when a dentist puts bonding material on a tooth, it is also a “veneer” because it is also a false front. Like ceramic veneers, bonding can be used to close gaps between teeth and also change the color of teeth. The material used is actually the same as we use in “white” composite resin fillings, and the process is much the same as when a tooth is filled. 

There may not be a need to reshape a tooth before it is bonded, and the process can be reversed. It is also a less expensive technique than ceramic veneers. Because cosmetic bonding is done with composite resin material, it does not last as long as ceramic veneers and is more prone to breaking off. Bonding is a good option for changing a few teeth, closing a gap, or covering a specific stain on a tooth. We also have a pink gum shade material to use for bonding teeth at the gum line, for teeth with recession and uneven gum levels.

Ask Us if Bonding or Veneers Would Be Right for You!

We will discuss the options with you and look at your bite, how many teeth you want to change, and discuss what your desires are. We might advise that you have a “wax-up” done that will show you the predicted outcome for your bonding or veneers. To do this, we will take impressions of your teeth, send them to our laboratory, and have the lab technician make “before” and “after” sets of your teeth so that you can see what is possible for changing your smile. We can show you our tooth shade guides, to let you know the color possibilities for your new smile. 

Care of Veneers and Bonding

Your teeth may feel just a bit thicker for a day or two after bonding or veneers are placed, but you can take care of them the same way you care for your other teeth. The natural teeth around the bonding or veneers can still decay, so it is important to continue to brush well at the gumline and do all of the other home care techniques like flossing, using toothpicks, electric toothbrushes, and WaterPiks as recommended. 

If your bite has been changed at all, we may recommend that you wear a bite guard to prevent breaking of your bonding or veneers from heavy bite forces. If you are prone to getting cavities, the use of a fluoride product at bedtime is always a good idea.

Her staff really showed compassion towards me

I've always had a fear of Dentistry, But Dr. Kate and her staff really showed compassion towards me and always make my visits extremely comfortable, from the front desk to the dental chair it is always a pleasure. Thank you Dr. Kate and staff!

- Stace N.

Meet Our Doctor:

Dr. Kate Hakala

Dr. Kate Hakala graduated from the University of Colorado School of Dental Medicine, cum laude, in 1989. Prior to that, she received a Bachelor’s Degree in Dental Hygiene in 1982 and worked for several dentists before returning to dental school. Her father, Joe Hakala, started Hakala Family Dentistry in 1962, and it was an easy decision for Dr. Kate to join him in his busy general dental practice. Dr. Joe is now retired, but he stops by the office periodically to say hello. You can see his wood carvings in ...

Would You Like a Custom Smile Makeover?
Get Started!